Recupere la belleza de su boca
Con la Estética y Cosmética Dental.En la Clínica Galvis Rocha de Fuenlabrada usamos una tecnología avanzada que nos permite mostrarle los resultados que tendrá el tratamiento una vez completado. Esta técnica denominada software de mockup o modelación le permite decidir sobre su tratamiento con total confianza. Además, para asegurarnos de que los resultados son óptimos, trabajamos con laboratorios de reconocido prestigio y usamos materiales de fabricantes líderes. Nuestros tratamientos de estética y cosmética dental se enfocan en la mejora de la forma, la funcionalidad y la apariencia de la dentadura en aquellas personas que presenten algun tipo de defecto o deficiencia.
Dr. Ernesto Galvis Rocha, especialista en estética dental
Su boca, en buenas mano.Nuestro especialista, el Doctor Galvis Rocha, cuenta con una amplia experiencia en el campo de la estética dental, con una formación específica y cientos de pacientes satisfechos. La importancia de la estética dental es clave, no solo para proteger y mantener la salud dental del paciente, sino también para devolverle la confianza gracias a una boca sana que además tiene un gran aspecto. Esto hace que sea una de las especialidades que más está creciendo y que está siendo más demandada por parte de los pacientes.
Una boca dañada, con piezas perdidas y gastadas, con dientes amarillentos, demasiado separados y desalineados tiene un impacto muy negativo sobre la apariencia de nuestro rostro. Afortunadamente hoy en día existen tramientos de estética y cosmética dental que pueden corregir estos problemas y darle a su boca un aspecto bello y saludable. Estos tratamientos pueden incluir la colocación de carillas de porcelana, los alineadores invisibles, implantes dentales o blanqueamiento dental. No dude en llamarnos y concertar una cita para que evaluemos su caso y le aconsejemos los mejores tratamientos de estética y cosmética dental para usted.
La clínica Galvis Rocha de Fuenlabrada le ofrece unos precios muy competitivos, materiales de primeras marcas y una financiación sin intereses de hasta 24 meses.
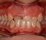
Paciente con dientes desalineados, gastados y ennegrecidos (caso real)
Paciente tras un tratamiento integral de diseño de sonrisa
¿Qué tipos de tratamientos de estética dental existen?
Existen una serie de tratamientos de estética dental que dependerán del diagnóstico que se le realice al paciente y de los resultados que éste desee. Un exceso de tejido de encía da lugar a lo que se denomina la "sonrisa gingival", la gingivectomía es efectiva a la hora de modelar la encía y dotar al paciente de una sonrisa estéticamente más atractiva. Los dientes que presentan roturas o desgaste pueden beneficiarse del uso de fundas y coronas que refuerzan el diente natural y lo embellecen al tiempo que constituyen una solución duradera.
¿Quién se puede beneficiar de la estética dental?
Cualquier paciente que necesite mejorar la salud y el aspecto de su dentadura, que tenga problemas de confianza y que desee mejorar el estado de sus dientes puede contactar con nuestro experto en cosmética dental para que le asesore y estudie su caso. Nuestros especialistas pueden proporcionarle tratamientos tanto de odontología general como de cosmética y pueden evaluar su caso para determinar el mejor procedimiento a seguir.
¿Cómo sé cuál es el mejor tratamiento para mí?
Después de realizar una exploración detallada de su boca y de conocer las mejoras que usted desea, nuestro experto en estética dental le asesorará de los tratamientos que se adaptan a sus necesidades.
¿Es segura la estética dental?
Nuestro especialista en estética dental, el Doctor Ernesto Galvis Rocha, cuenta con una amplia experiencia en este tipo de tratamientos y solucionará cualquier duda que le pueda surgir al respecto.
¿Cuánto duran los tratamientos de estética dental?
Cada tratamiento emplea materiales con distintos niveles de durabilidad. Nuestros experto en estética dental le asesorará sobre los mejores tratamientos para su caso y de la durabilidad que puede esperar. Recuerde que visitar a su odontólog al menos una vez cada seis meses es la mejor garantía de salud bucodental.
¿Cuánto cuestan los tratamientos de estética dental?
El coste de la estética dental depende del diagnóstico, del tipo de tratamiento y de los materiales a emplear. Nuestro experto le informará sobre las distintas opciones disponibles así como de las facilidades de pago a las que usted se puede acoger.

